High Definition Advanced Diagnostic Imaging and Patient Record System

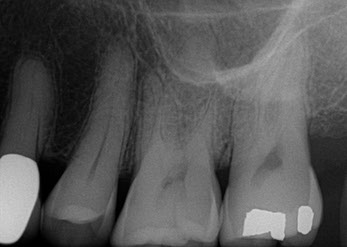
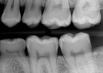
One of the best ways to improve your oral health is to understand its current state and how its changed since your previous appointments. For this reason we have invested in advanced computer systems and digital imaging software so your records don't have to be a secret or difficult to understand.  During your appointment we will discuss diagnostic images from your current and previous appointments, so you understand any minor changes worth monitoring or major problems that require intervention. Your images are presented to you on large 34" monitors that make it easy for you to see how healthy your mouth is, or any damages. We also keep diagrammed digital charts that allow for you to easily see the type and location of previous work you have completed.

 

 

CONTACT US!

Submitting Form...

The server encountered an error.

Form received.