Phone: 505-293-9559  |  Fax: 505-293-9568

sarah@oppelfamilydentistry.com

High Definition Schick 33 Digital X-rays

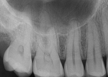
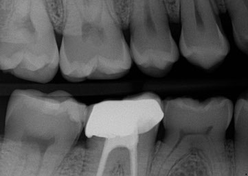
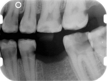
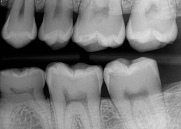
Our investment into Schick 33 Digital X-ray sensors gives us high definition digital scans of your tooth and bone structure that you can easily see on 40" monitors at our practice. It is easy for not only us to visualize damage, but for you to see and understand it as well. We are able safely take more images of your mouth, while you benefit from instant images and 95% less exposure than conventional oral x-ray systems. Below is a review and link from DentistryIQ on this technology as well as actuals images taken of our staff and friends.

Schick 33 HD Digital X-ray

Conventional X-ray

SCHEDULE YOUR APPOINTMENT - CONTACT US BELOW

Submitting Form...

The server encountered an error.

Form received.

DESIGN BY ROGER BROWN  |  2016 OPPELFAMILYDENTISTRY.COM